Ce sunt fațetele compozite prin injectare?
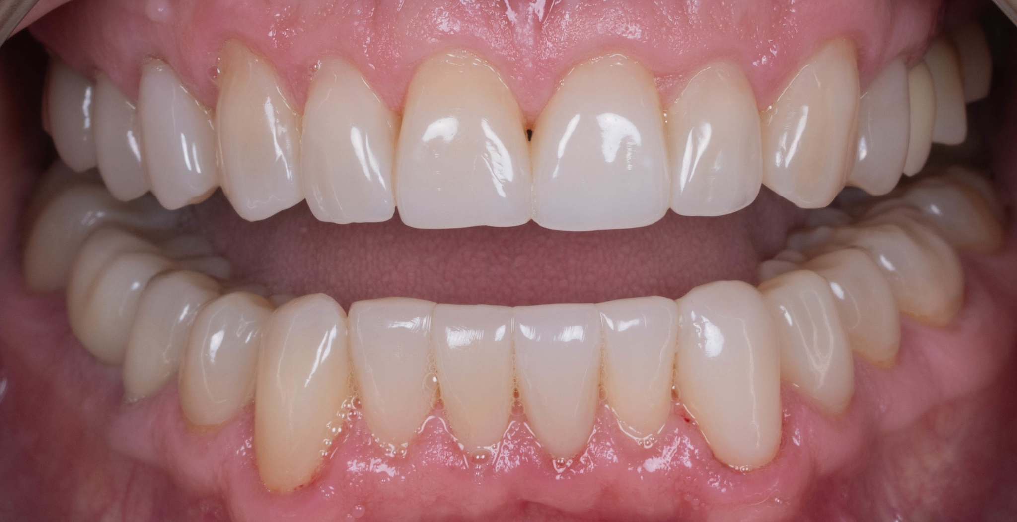
Fațetele compozite directe realizate prin injectare sunt o soluție modernă și minim invazivă pentru a obține un zâmbet estetic și natural. Procedura este planificată digital și realizată cu precizie, astfel încât să ai siguranța rezultatului final înainte de tratament.
Fațetele sunt realizate dintr-un material compozit de ultimă generație, aplicat pe dinți cu ajutorul unui ghid transparent, proiectat și fabricat cu tehnologie digitală 3D.


Cum planificăm tratamentul?
Consultația inițială – totul începe cu o consultație detaliată, în care medicul discută cu pacientul așteptările și nevoile sale estetice și funcționale.
Investigații digitale – Pentru un plan complet, folosim:
- scanare intraorală – înlocuiește amprenta clasică și oferă un model 3D al dinților;
- scanare facială – integrează trăsăturile faciale cu modelele dinților, toate în 3D;
- analiza Modjaw – o tehnologie inovatoare care înregistrează dinamica mandibulei și modul real în care pacientul mușcă și vorbește.
Smile Design – Pe baza acestor informații, medicul și tehnicianul realizează un plan estetic și funcțional personalizat, cunoscut sub numele de Smile Design Digital.
Wax-up digital și model 3D – tehnicianul dentar, la indicațiile medicului, realizează un proiect digital 3D (wax-up). Acesta este apoi printat 3D sub forma unui model fizic care redă forma finală dorită a dinților.


Cum decurge tratamentul propriu-zis?
Testarea cu mock-up – Modelul printat 3D se amprentează și se transferă în cavitatea orală cu ajutorul unui material provizoriu. Această etapă, numită mock-up, permite pacientului să „testeze” zâmbetul propus direct pe dinții săi, înainte de a lua decizia finală.
Validarea planului – După ce pacientul și medicul validează rezultatul estetic și funcțional al mock-up-ului, se trece la etapa finală.
Ghidul pentru injectare – se realizează de laborator după proiectul digital.
Aplicarea fațetelor – ghidul planificat digital se aplică pe dinți, iar materialul compozit se injectează prin ghid pentru a reproduce forma și aspectul din proiectul digital.



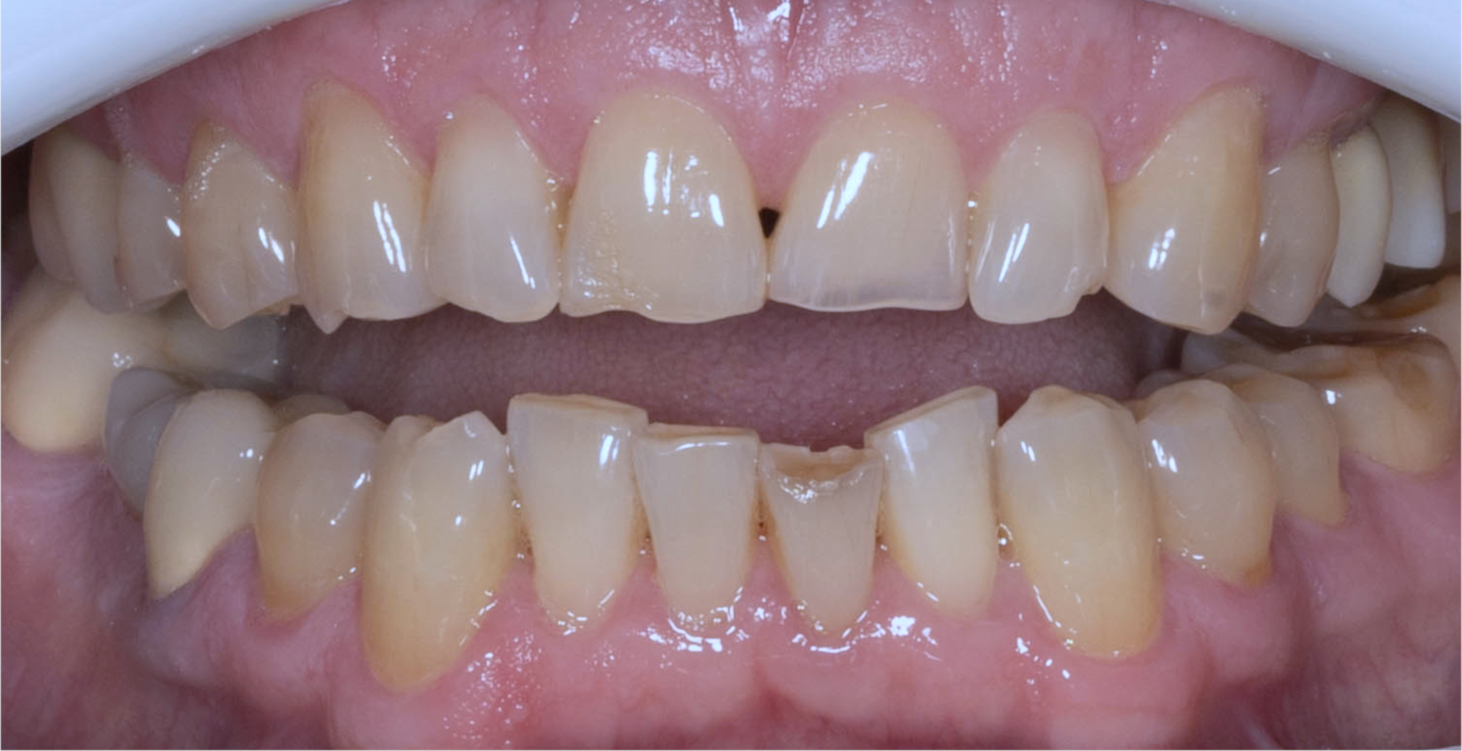
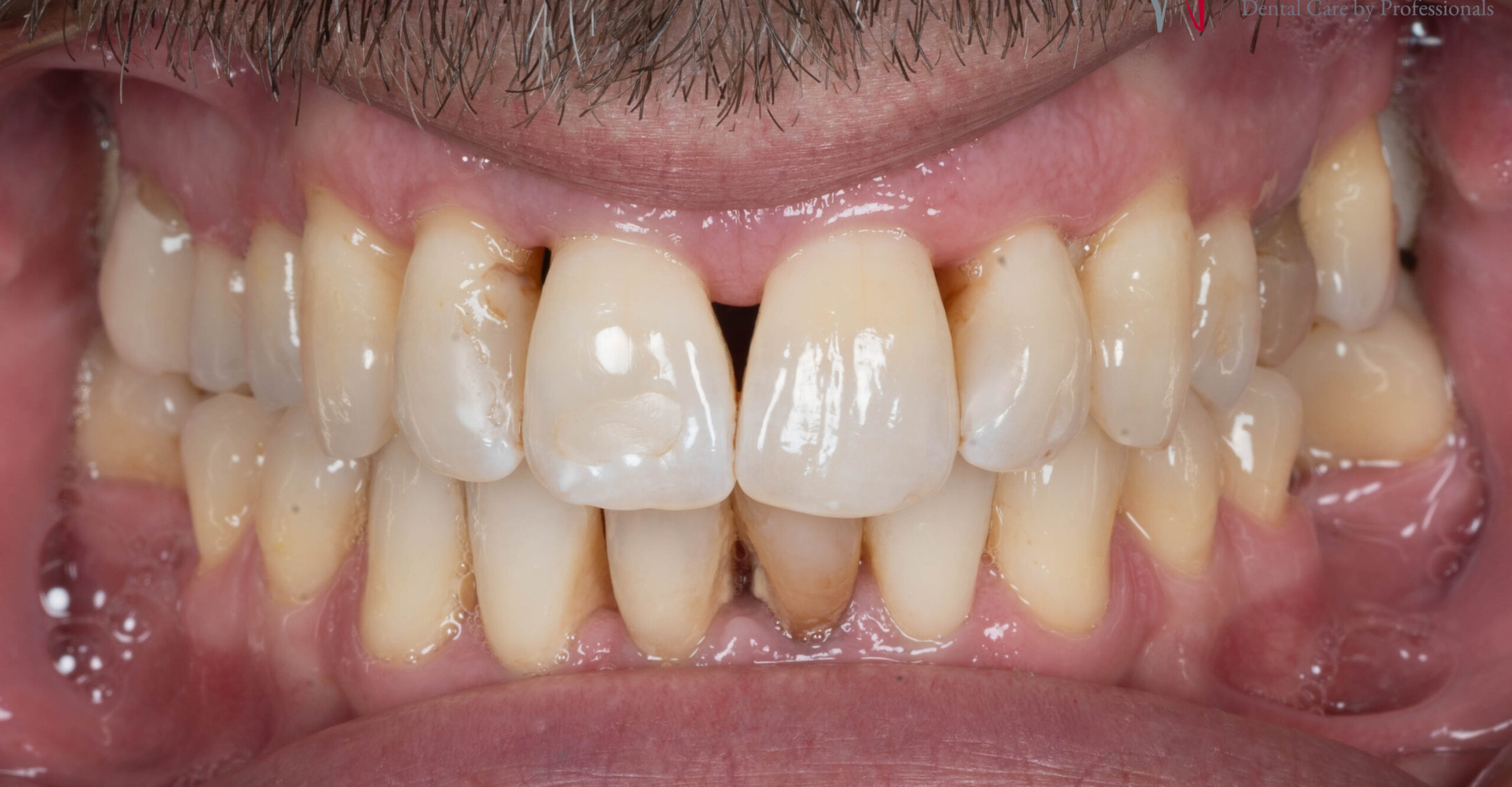
Cui i se potrivesc fațetele prin injectare?
Această tehnică este ideală pentru pacienții care:
- își doresc o corecție estetică rapidă,
- au dinți ușor pătați, ciobiți sau neuniformi,
- nu doresc să își sacrifice dintele natural prin șlefuire,
- caută o soluție minim-invazivă, cu rezultate vizibile imediat.
Este important de știut că nu toate cazurile, însă, sunt potrivite pentru fațete injectate. În cadrul consultației inițiale, medicul îți va putea spune dacă această opțiune este potrivită pentru tine sau dacă este nevoie de o altă abordare.
Programează vizita
și află cât de ușor îți poți transforma zâmbetul!
